Dental Emergency ?
Your summer holiday means a lot of poolside playtime and extra treats. Unfortunately, all those
delicious goodies can cause a dental emergency by wrecking teeth. Breaking a tooth while biting
down on something hard—or worse, a swimming pool accident, these are far more common than
one would imagine.
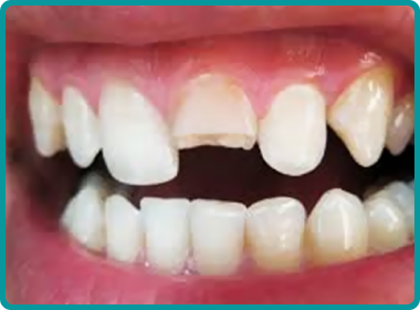
The good news is that cracking or chipping a tooth is not always painful unless the break goes very deep and affects the nerve. There may be some initial sensitivity, but saliva forms a temporary protective barrier. It’s something that will need a dentist’s attention, though, as it can cause a sharp spot that will scratch the lips or tongue, affect bite alignment, or let in bacteria that will eventually form a cavity.
When a tooth breaks close to the gum or root, it may bleed. Applying gauze should stop the bleeding, until you can reach the dentist. This should be sufficient until a dentist can be seen. If the bleeding won’t quit, seek medical attention.
If a tooth is completely knocked out, acting fast could save it. Stop any bleeding with gauze, then rinse the tooth gently, holding it by the crown. If possible, slide it back into place, but make sure it’s positioned correctly. If it won’t go in, contact our emergency number 628353446 to arrange an appointment as soon as possible. You can place the tooth in a small amount of milk until you can arrive at the dental clinic.
The good news is that cracking or chipping a tooth is not always painful unless the break goes very deep and affects the nerve. There may be some initial sensitivity, but saliva forms a temporary protective barrier. It’s something that will need a dentist’s attention, though, as it can cause a sharp spot that will scratch the lips or tongue, affect bite alignment, or let in bacteria that will eventually form a cavity.
When a tooth breaks close to the gum or root, it may bleed. Applying gauze should stop the bleeding, until you can reach the dentist. This should be sufficient until a dentist can be seen. If the bleeding won’t quit, seek medical attention.
If a tooth is completely knocked out, acting fast could save it. Stop any bleeding with gauze, then rinse the tooth gently, holding it by the crown. If possible, slide it back into place, but make sure it’s positioned correctly. If it won’t go in, contact our emergency number 628353446 to arrange an appointment as soon as possible. You can place the tooth in a small amount of milk until you can arrive at the dental clinic.
DENTAL TOURISM
Dental tourism is a fast-growing field of medical tourism. It, essentially, revolves around people
traveling to foreign countries to get lower-cost dental care. The LDC has proven to be extremely
competitive compared the UK & Ireland prices on cosmetic treatments, including dental implant
surgery. We now have the latest CT scanner machine onsite allowing for fast a cost effective
diagnosis and subsequent treatment planning.
Need a Dentist in Lanzarote?
The London Dental Clinic is the only authentic British clinic on the island. Our principle
dentist trained in London at St Barts & The Royal London School of Medicine. He is a
member of the UK General Dental Council (GDC No 76367). Dr Adnan Kaiserimam will
explain all treatment options clearly. This will allow you to make an informed decision that
will give you the desired outcome. All of our team have English as a first language. We have
patients who regularly travel from the UK & Ireland for their routine dental care as well as
more intensive treatments. You can always reserve your dental appointment online by
visiting the website address www.thelondondentalclinic.com We are located in the town
centre of Tias with immediate access to the surrounding resorts of Puerto Del Carmen,
Puerto Calero, Arrecife & Costa Teguise.
TESTIMONIALS
Customer feedback
Their friendly approach to you as soon as you enter the building, and the staff explain everything very clearly so that you know what the cost is which is very important. Speedy and very professional service and Ian was a Star
John Hodkinson
Their friendly approach to you as soon as you enter the building, and the staff explain everything very clearly so that you know what the cost is which is very important. Speedy and very professional service and Ian was a Star

Emergency No: +34 628 353 446